Case Report Minimally Invasive Resin-Bonded Zirconia Veneers for the Treatment of Discolored Teeth

Blue Modern Tropical Holiday Vacation Guide Blog Banner-Nov-13-2025-04-30-14-7569-PM

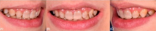
Come ottenere un risultato estetico e funzionale ottimale in presenza di denti fortemente discromici, mantenendo un approccio minimamente invasivo?
In questo caso clinico, il Primo Comitato dei Junior Members della Società Italiana di Protesi e Riabilitazione Orale (SIPRO) presenta il trattamento di una giovane paziente affetta da discromia tetraciclinica, risolta grazie a un protocollo multidisciplinare che integra ortodonzia, chirurgia parodontale e riabilitazione adesiva con faccette in zirconia monolitica.

 

0003-8443607933688464496 3

Dott. Stefano Bertoni

0005-8443607933688464496 5

Dott. Massimo Carossa

0004-8443607933688464496 4

Dott. Riccardo Favero

0002-8443607933688464496 2

Dott. Fabio Carboncini

0006-8443607933688464496 6

Dott. Luigi Federico D’Arienzo

 

 

0001-8443607933688464496 1

Odt. Antonio Bertoni

 

 

 

Il lavoro — firmato da Dott. Stefano Bertoni, Dott. Massimo Carossa, Dott. Riccardo Favero, Dott. Fabio Carboncini e il Dott. Luigi Federico D’Arienzo — illustra in modo dettagliato tutte le fasi operative: dalla pianificazione digitale e mock-up guidato, alla preparazione minimamente invasiva, fino alla cementazione adesiva e al controllo a 24 mesi.

LA TUA OPINIONE CONTA-Nov-14-2025-07-55-58-9519-AM

I risultati clinici dimostrano come la zirconia, grazie alle sue proprietà meccaniche, estetiche e biocompatibili, possa rappresentare una valida alternativa per restauri adesivi duraturi e altamente estetici, anche nei casi di discromia complessa.

   LA TUA OPINIONE CONTA-Nov-14-2025-07-54-35-0008-AM

 

Scarica gratuitamente l'Articolo Scientifico per approfondire:

 

 

Immagine 2025-11-14 085240

il protocollo operativo passo-passo

 

le tecniche di preparazione guidata e cementazione adesiva

 

le valutazioni cliniche e i risultati dopo 24 mesi di follow-up

 

 

 

📥 Compila il form e scarica ora il PDF completo